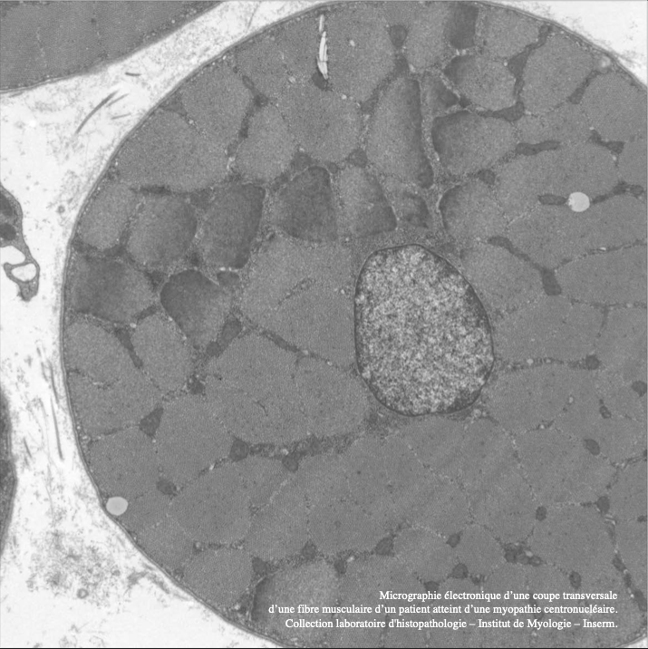
Livre M. Fardeau (N. Bignier, S. Vassilopoulos, A. Rouche) – lame myopathie centronucléaire NB
Votre vie privée est importante pour nous
En cliquant sur « Tout accepter », vous consentez au dépôt de cookies sur votre appareil pour améliorer votre navigation sur le site, mesurer les performances du site, personnaliser le contenu ou la publicité affichée sur le site et d’autres sites. Votre consentement est valable 6 mois.
Vous pouvez personnaliser vos choix ou retirer votre consentement à tout moment en cliquant sur le lien « Gérer mes cookies ». Pour plus d’information, et notamment pour consulter la liste des tiers intervenant sur notre site, consultez la Politique de cookies accessible en bas de page.
En savoir plus Tout refuser Tout accepter Gérer mes cookiesGérer mes cookies